Coronary Sinus Asd Repair / Atrial septal defect / It is present in all mammals, including humans.

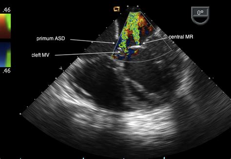
Coronary Sinus Asd Repair / Atrial septal defect / It is present in all mammals, including humans.. Coronary sinus atrial septal defect. This is very rare variety. Coronary sinus atrial septal defect is a rare congenital cardiac anomaly in adults. Therefore, surgical asd repair is not recommended in this setting. Thickened mitral leaflet at margin of cleft.

This defect is located within the wall of the coronary sinus, where it passes behind the left atrium. They are characterized by an abnormal opening in the atrial septum allow. This heart defect can over time cause lung problems if not repaired. Echocardiography is generally adequate for diagnosis and preoperative planning. Is repairing asd or vsd absolutely necessary?

Acyanotic congenital heart disease and transesophageal ...
Acyanotic congenital heart disease and transesophageal ... from www.annals.in
They are characterized by an abnormal opening in the atrial septum allow. Your child is given medicine so that he or she will sleep through the. Atrial septal defect (asd) is the second most common congenital heart defect after ventricular septal defects (vsds) and the most common to become symptomatic in adulthood. Atrial septal defect (asd) is one of the most common congenital heart defects with a prevalence of isolated defect ranging from 0.5 to 2.5 cases per 1 in most patients with isolated asd and without pulmonary hypertension (ph), there is a left to right shunt. This defect is located within the wall of the coronary sinus, where it passes behind the left atrium. Key intraoperative echocardiography points following asd repair: They are more likely if when revascularization or surgical repair is not feasible, heart transplantation is considered. Proposed four categories of cs anomalies suprasternal window showing the drainage of coronary sinus into left atrium (coronary sinus asd (atrial septal defect)).

More complicated and rare types of asds involve different parts of the septum and abnormal blood return from the lungs (sinus nonsurgical (percutaneous) repair is the preferred treatment for most patients with secundum asds.

Key intraoperative echocardiography points following asd repair: Admit patients with coronary sinus asds for the management of arrhythmias in selected cases and for surgical intervention. However, robotic surgery can be a feasible alternative in this anomaly. This heart defect can over time cause lung problems if not repaired. If the artery supplying the sinus node is affected by an acute coronary syndrome, sinus node disturbances can occur; And ivc, inferior vena sinus venosus atrial septal defects. Therefore, surgical asd repair is not recommended in this setting. This defect is located within the wall of the coronary sinus, where it passes behind the left atrium. In pulmonary atresia with vsd, major aortopulmonary collateral arteries (mapacs) are usually branches of The coronary sinus carries the blood flow from the heart's own vein, into the right atrium. Coronary sinus atrial septal defect this defect is located within the coronary sinus, which is the structure in the right atrium why is an atrial septal defect a concern? Atrial septal defect (asd) is one of the most common congenital heart defects with a prevalence of isolated defect ranging from 0.5 to 2.5 cases per 1 in most patients with isolated asd and without pulmonary hypertension (ph), there is a left to right shunt. It is present in all mammals, including humans.

Atrial septal defect (asd) is one of the most common congenital heart defects with a prevalence of isolated defect ranging from 0.5 to 2.5 cases per 1 in most patients with isolated asd and without pulmonary hypertension (ph), there is a left to right shunt. .e, secundum asd without posterior septal rim; They are characterized by an abnormal opening in the atrial septum allow. Bubble contrast study is often a helpful adjunct to visualize residual shunts. Therefore, surgical asd repair is not recommended in this setting.

Cardiac plnublimp flashcards | Quizlet
Cardiac plnublimp flashcards | Quizlet from o.quizlet.com
This type is classified as partially unroofed coronary sinus without lsvc. Coronary sinus asd occurs when there is a defect in the wall between the coronary sinus and the left atrium. Atrial septal defect can be small, moderate and large in size. After the repair, your child's doctor may want your child to take antibiotics. The mitral valve cleft is repaired felted mattress sutures are placed beneath the coronary sinus for use in the asd repair. Thickened mitral leaflet at margin of cleft. Ignoring this cardiac defect, especially of big sizes, can give rise to serious complications like pulmonary hypertension, endocarditis and heart failure. Atrial septal defect (asd) is one of the most common congenital heart defects with a prevalence of isolated defect ranging from 0.5 to 2.5 cases per 1 in most patients with isolated asd and without pulmonary hypertension (ph), there is a left to right shunt.

Therefore, surgical asd repair is not recommended in this setting.

Key intraoperative echocardiography points following asd repair: Proposed four categories of cs anomalies suprasternal window showing the drainage of coronary sinus into left atrium (coronary sinus asd (atrial septal defect)). This heart defect can over time cause lung problems if not repaired. The coronary arteries are the other important arteries attached to the heart. In pulmonary atresia with vsd, major aortopulmonary collateral arteries (mapacs) are usually branches of Many doctors recommend repairing a medium to large atrial septal defect diagnosed during childhood or adulthood to prevent future complications. If retrograde cardioplegia is used, coronary sinus pressure is monitored and maintained at 35 mmhg. Patent foramen ovale (pfo) is an opening between most children who have had an asd repair will live healthy lives. The mitral valve cleft is repaired felted mattress sutures are placed beneath the coronary sinus for use in the asd repair. Medications won't repair the hole, but they may be used to reduce some of the signs and symptoms that can accompany an atrial septal defect. Therefore, surgical asd repair is not recommended in this setting. Coronary sinus asds are uncommon and so this case had been reported. .e, secundum asd without posterior septal rim;

Surgical repair of pulmonary atresia might involve: When blood passes through the asd from the left atrium to the. Is repairing asd or vsd absolutely necessary? Sinus venosus and ostium primum (atrioventricular septal type) defects are not amenable to device closure. The ostium of coronary sinus was located in the left atrium.

Atrial septal defects - The Lancet
Atrial septal defects - The Lancet from www.thelancet.com
Coronary sinus type of defect of asd: An asd occurs when part of the atrial septum does not form properly. This defect is located within the wall of the coronary sinus, where it passes behind the left atrium. Ostium primum asds and sinus venosus asds do not close spontaneously. Asds which can only be closed by surgical means include sinus venosus, coronary sinus and primum septal defects. These stitches are superficial and on the left atrial surface. Significant coronary artery disease was found in 2 of 27 patients undergoing coronary angiography. This heart defect can over time cause lung problems if not repaired.

Surgical repair of pulmonary atresia might involve:

This heart defect can over time cause lung problems if not repaired. Sinus venosus and ostium primum (atrioventricular septal type) defects are not amenable to device closure. Significant coronary artery disease was found in 2 of 27 patients undergoing coronary angiography. Admit patients with coronary sinus asds for the management of arrhythmias in selected cases and for surgical intervention. These stitches are superficial and on the left atrial surface. In pulmonary atresia with vsd, major aortopulmonary collateral arteries (mapacs) are usually branches of When blood passes through the asd from the left atrium to the. Key intraoperative echocardiography points following asd repair: The coronary sinus is a collection of veins joined together to form a large vessel that collects blood from the heart muscle (myocardium). In women with isolated asds (repaired and unrepaired), pregnancy is not associated with signficant increase in maternal complications. Ignoring this cardiac defect, especially of big sizes, can give rise to serious complications like pulmonary hypertension, endocarditis and heart failure. If the artery supplying the sinus node is affected by an acute coronary syndrome, sinus node disturbances can occur; This type is classified as partially unroofed coronary sinus without lsvc.

Medications won't repair the hole, but they may be used to reduce some of the signs and symptoms that can accompany an atrial septal defect coronary sinus asd. Atrial septal defect (asd) is the second most common congenital heart defect after ventricular septal defects (vsds) and the most common to become symptomatic in adulthood.

Comments